下肢(股・膝・足)
頚椎除圧術
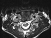
「頚椎症性脊髄症」または一部の「頚椎椎間板ヘルニア」に対して、神経圧迫を取り除くために「除圧術:椎弓形成術」を行います。頚椎の後方より侵入、椎弓を観音開きにし、椎弓スペーサーを挟み込むことにより狭窄した脊柱管を拡大、神経圧迫を取り除きます。操作する椎弓数によりますが、手術時間は40分~1時間で、出血も少なく実施可能です。1週間ほど装着していただく頚椎カラーの支えにより翌日から離床、歩行が可能です。手術後生じる頚の痛み、肩こりの改善に1~2か月要することが難点ですが、成績の安定した実績のある方法です。
![]() 頚椎除圧術術後MRIC5-6 |
![]() 頚椎除圧術術後X-p正面 |
![]() 頚椎除圧術術後X-p側面 |
![]() 頚椎除圧術術後MRI1 |
![]() 頚椎除圧術術前MRIC6-7 |
![]() 頚椎除圧術術前MRIC5-6 |
![]() 頚椎除圧術術前MRI1 |
![]() 頚椎除圧術術前MRIC3-4 |
![]() 頚椎除圧術術前MRIC4-5 |





























